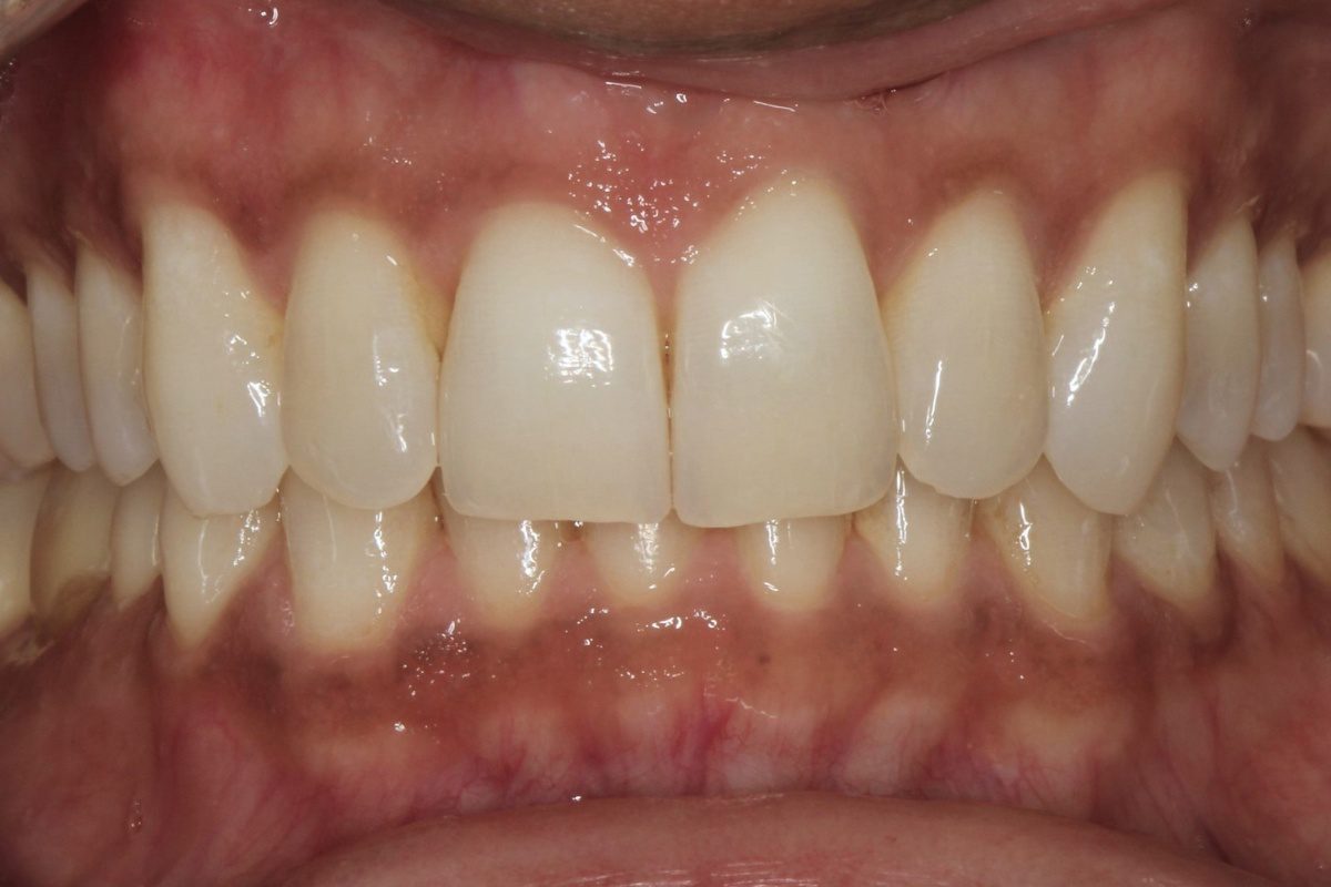
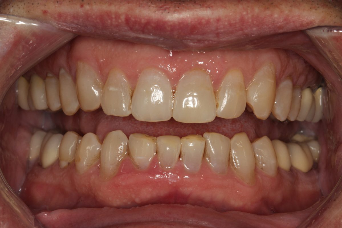
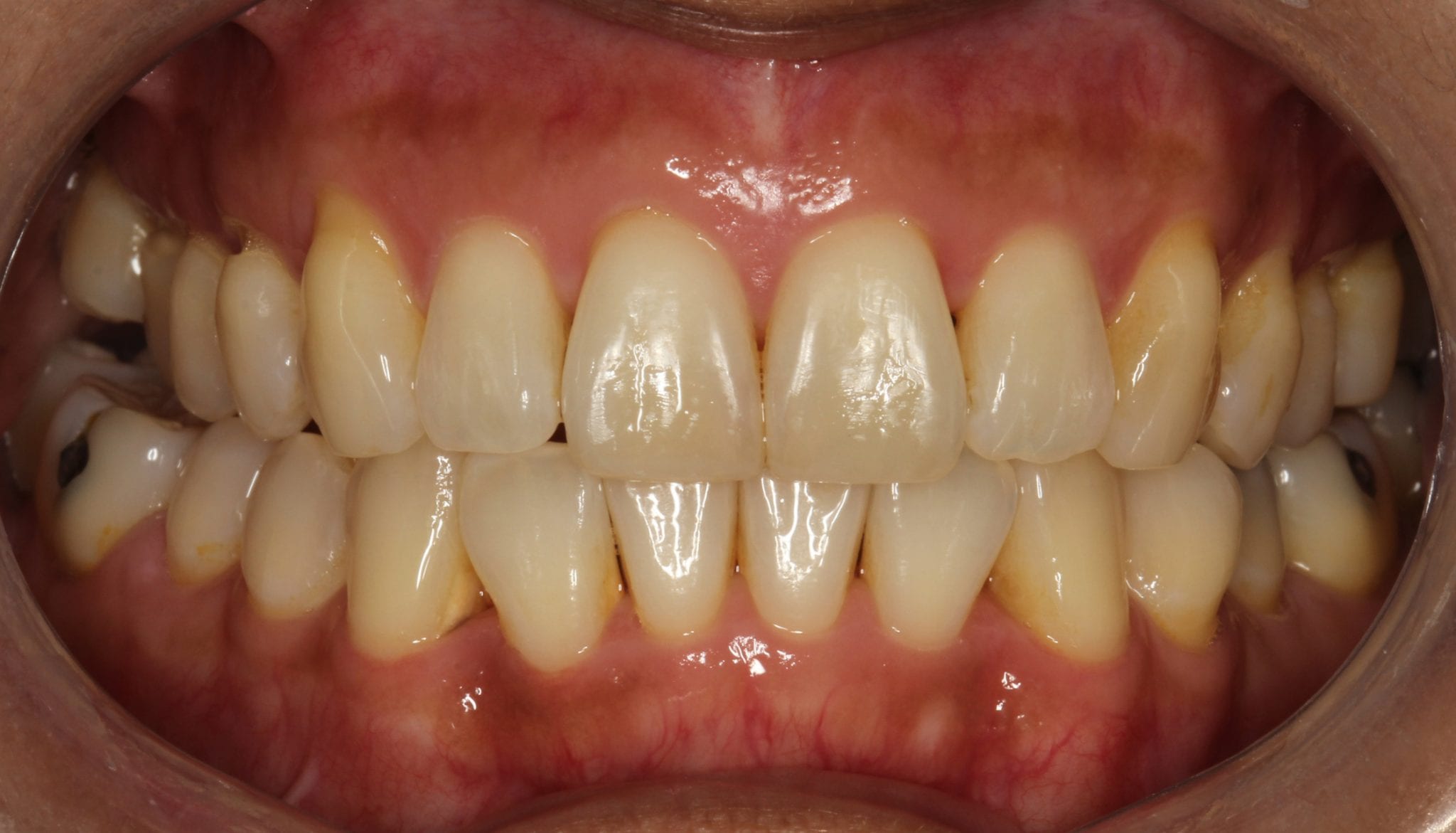
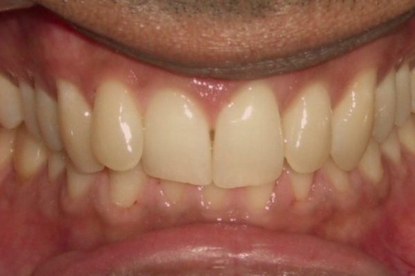
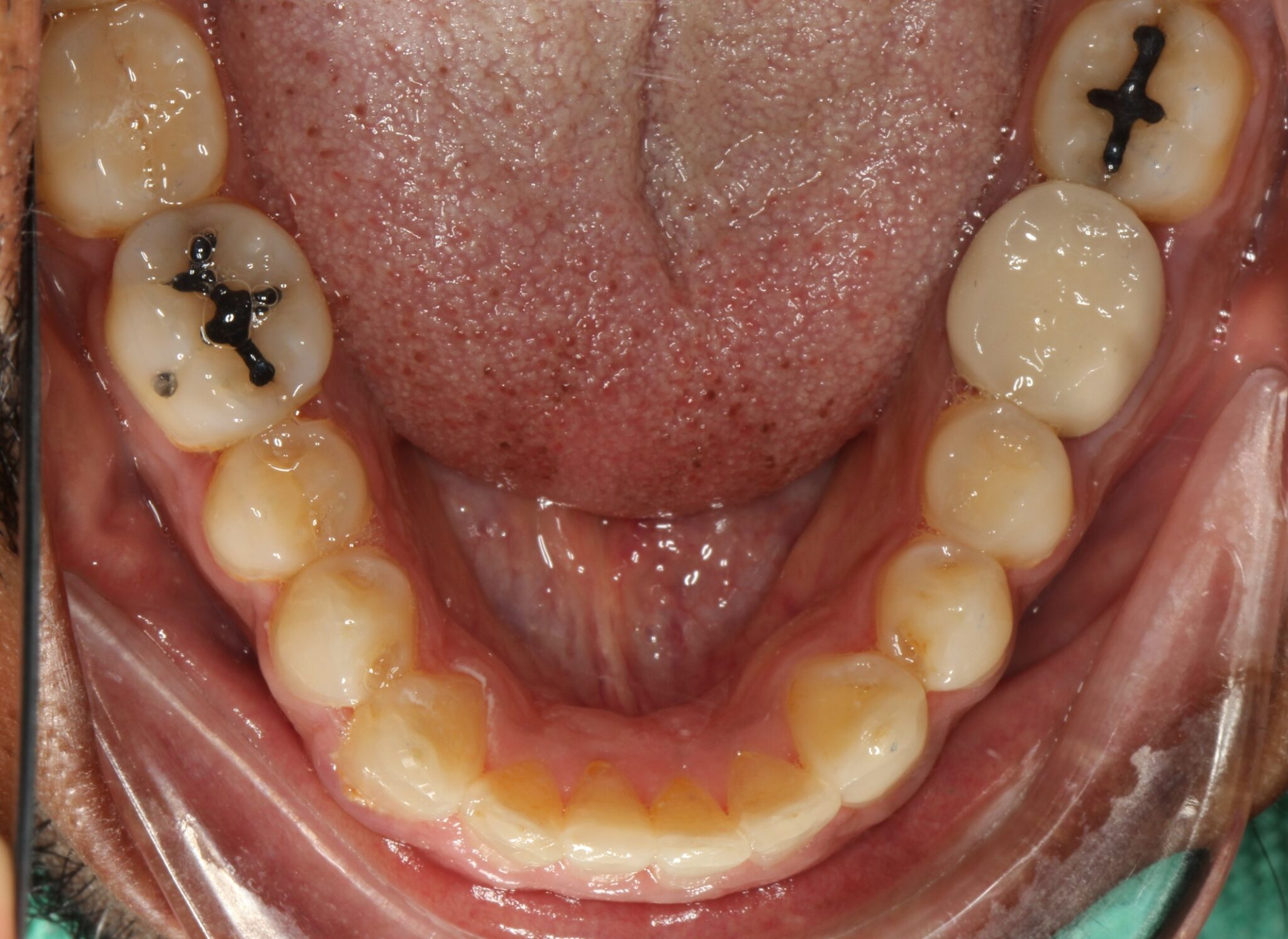
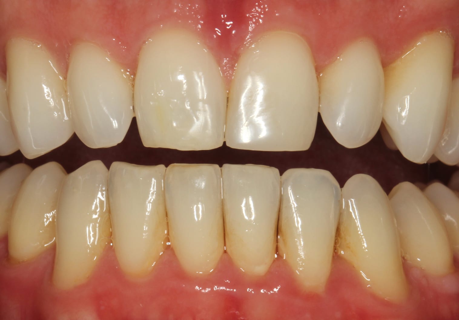
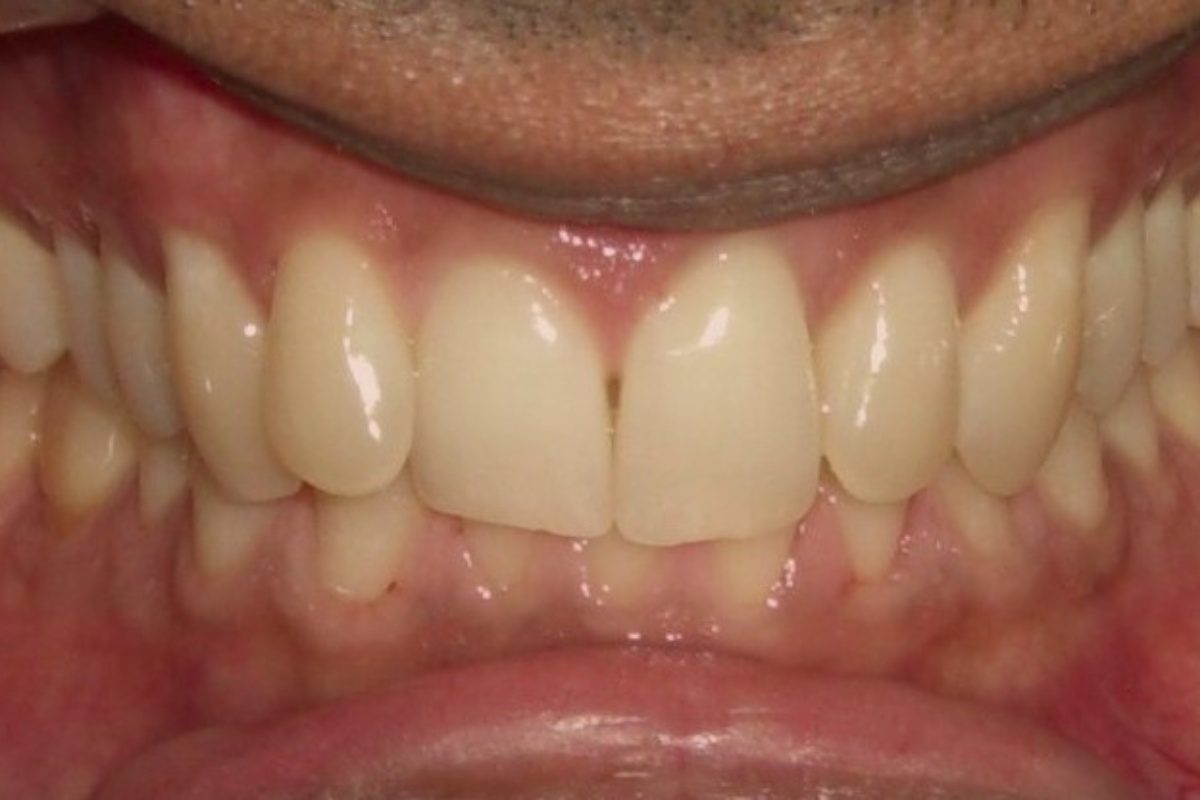
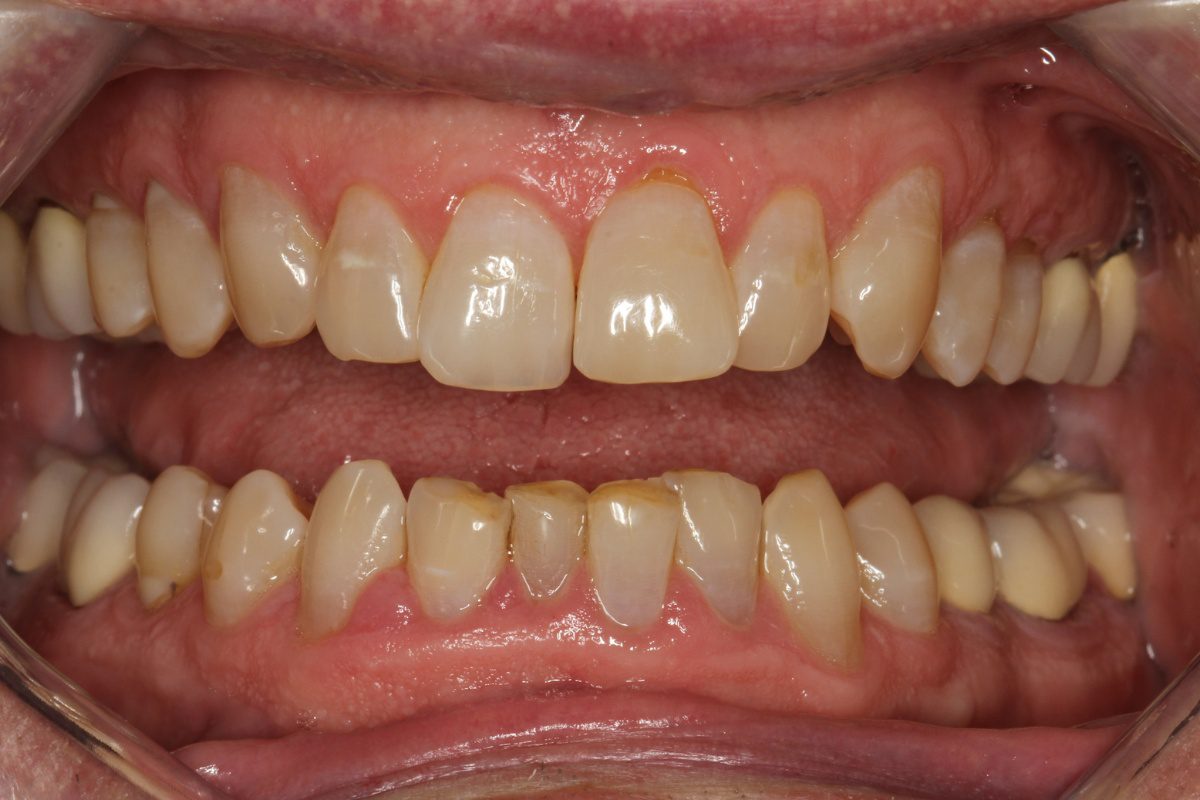
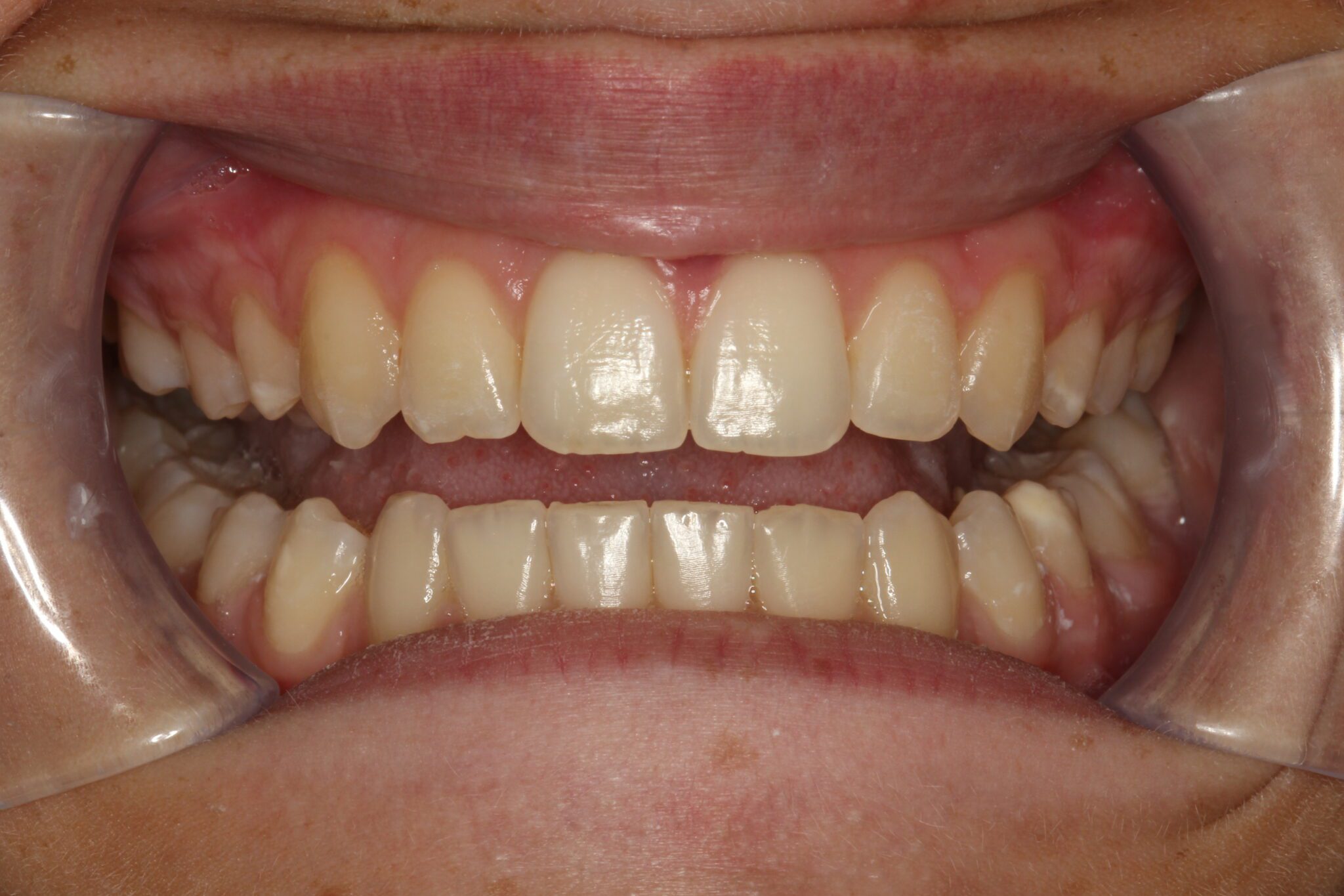
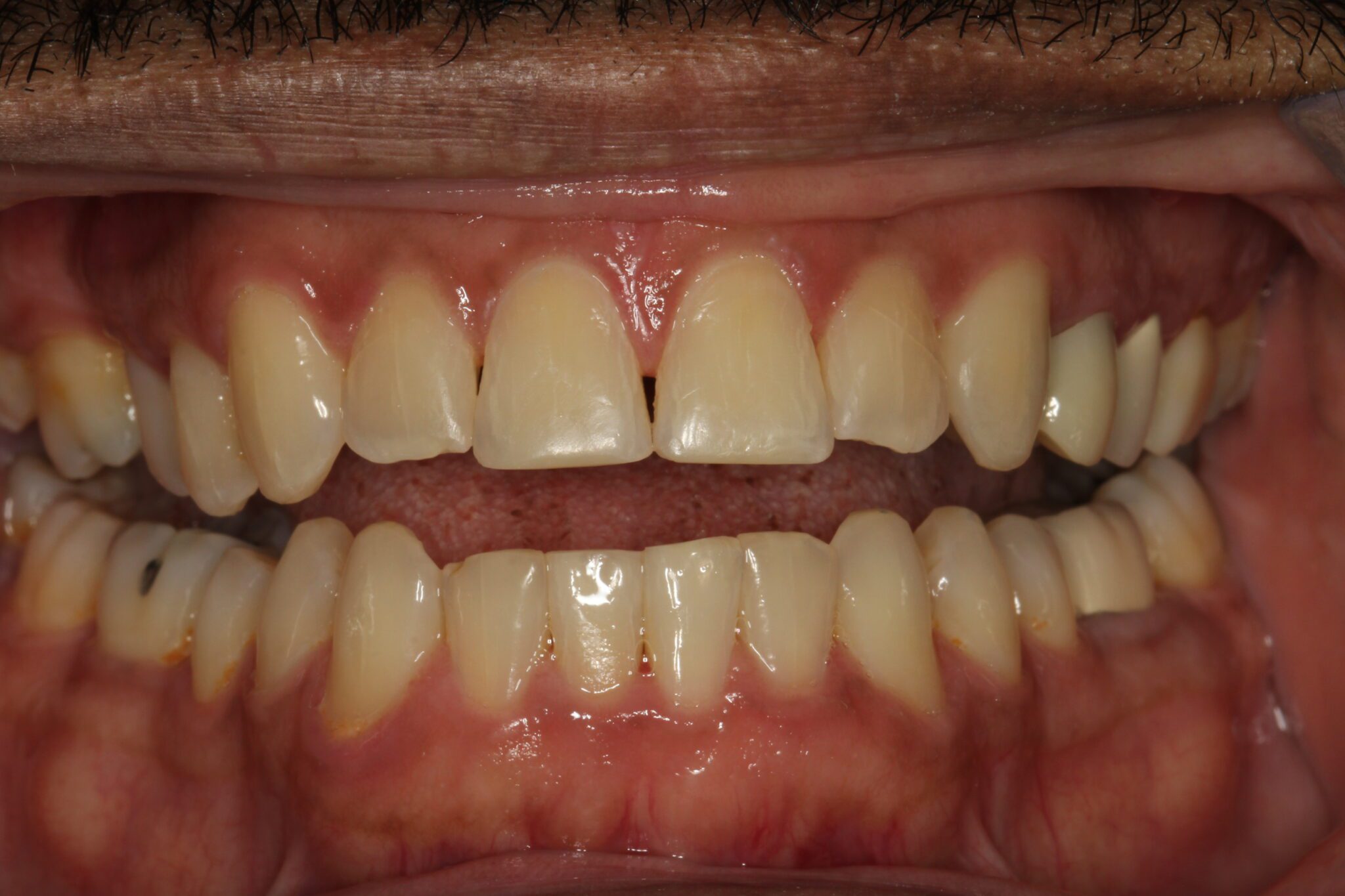
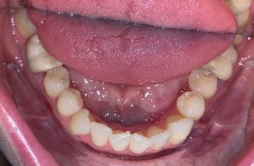
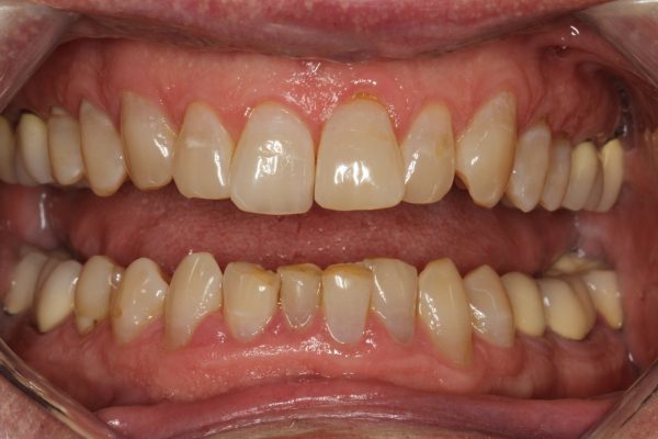
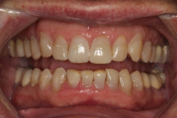
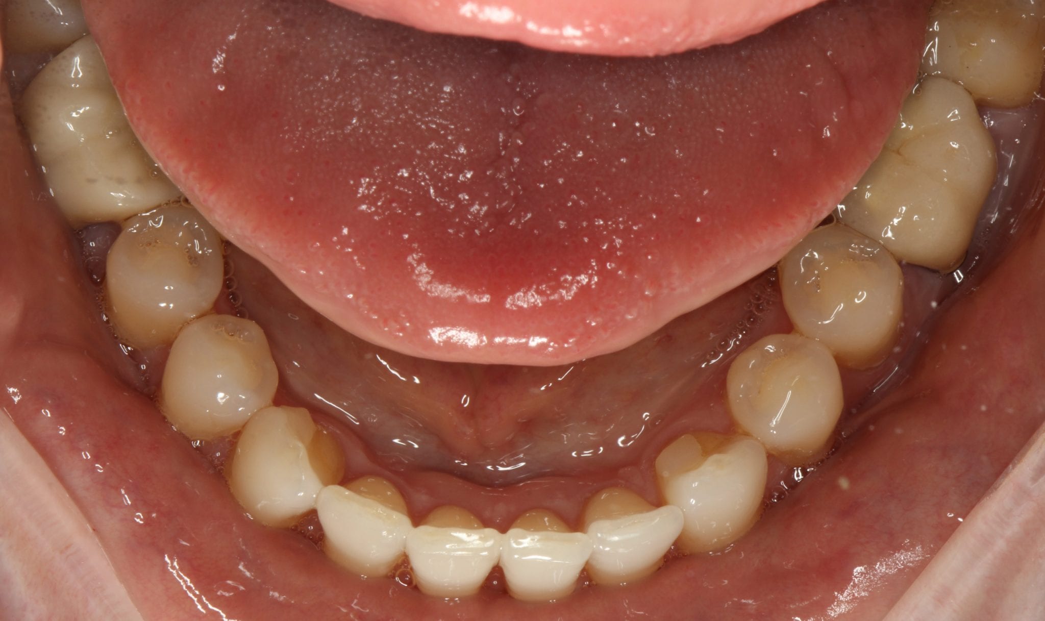
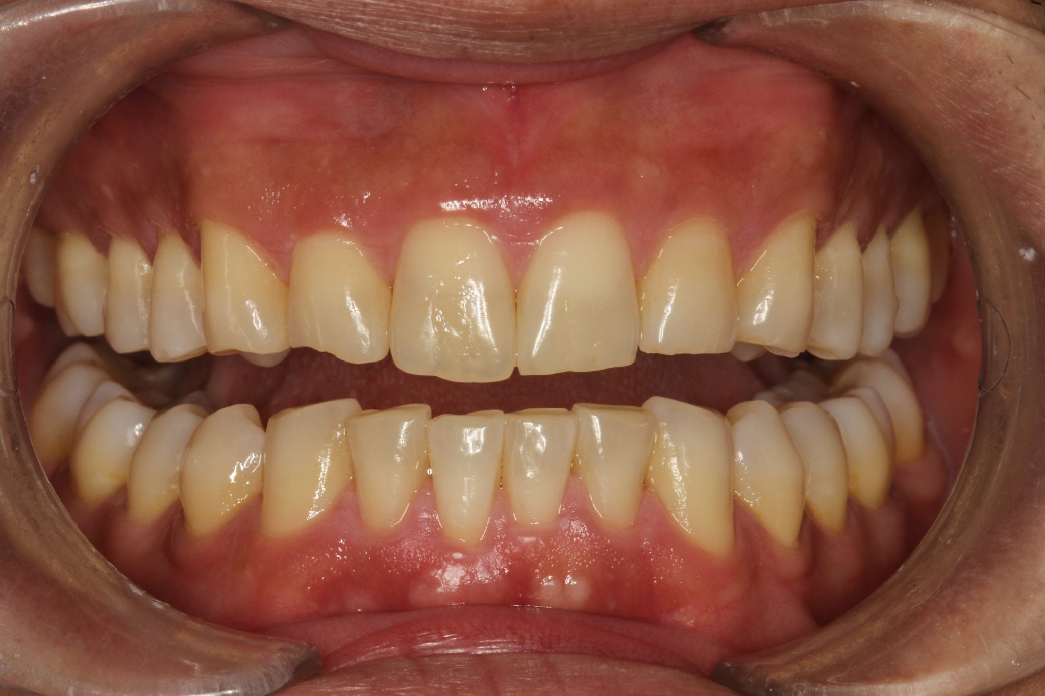
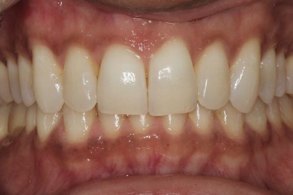
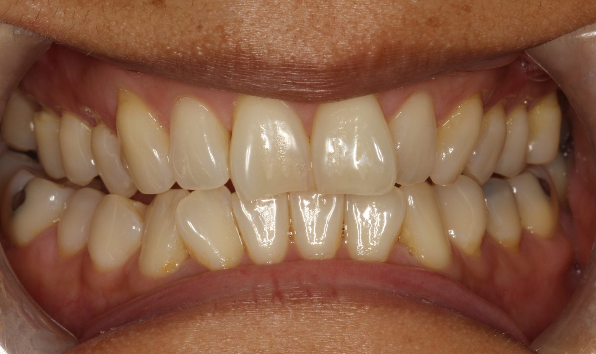
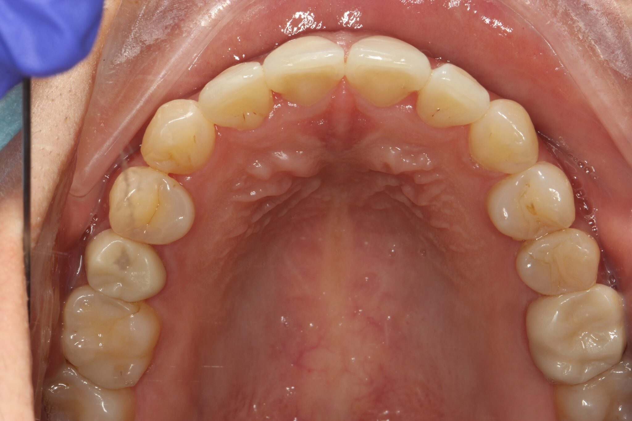
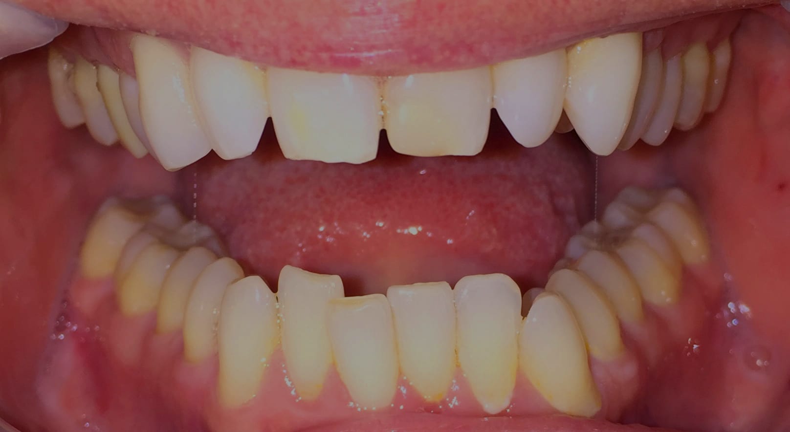
Before and After
Dr. Wong's Smile Gallery
We believe that a healthy smile can help you look and feel your best. At our dental office in San Mateo, we offer advanced care for brighter, whiter, and healthier teeth. Radiate confidence with the smile you've always wanted. Visit us today!