Home
About
Our Team
Our Office
Smile Gallery
Patient Gallery
Video Gallery
Online Payment
Services
Cosmetic Dentistry
Dental Implants
Porcelain Veneers
Dental Crowns
Dental Insurance Concierge
Invisalign Clear Braces
Teeth Whitening
IV Sedation Dentistry
BioClear Matrix
Testimonials
Blog
Contact Us
650-342-9016
Schedule an Appointment
HOURS OF OPERATION
Monday
07:00am – 03:00pm
Tuesday
07:00am – 03:00pm
Wednesday
07:00am – 03:00pm
Thursday
07:00am – 03:00pm
Friday
Closed
Book Online Consultation
Book Online Consultation
Before and After
Dr. Wong's Smile Gallery
We believe that a healthy smile can help you look and feel your best. At our dental office in San Mateo, we offer advanced care for brighter, whiter, and healthier teeth. Radiate confidence with the smile you've always wanted. Visit us today!
Bioclear Restorations
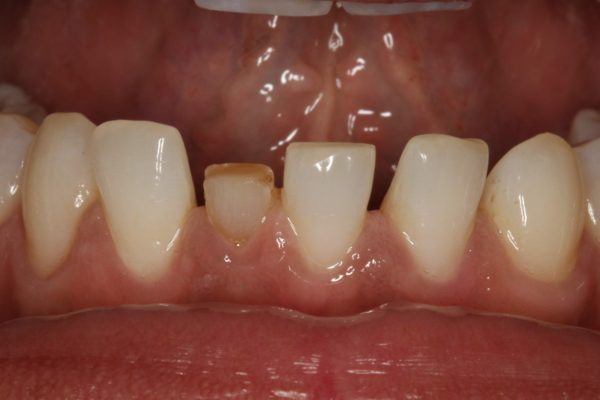
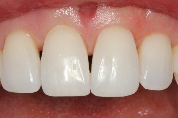
Dental Implants
Invisalign Treatment
Porcelain Restorations
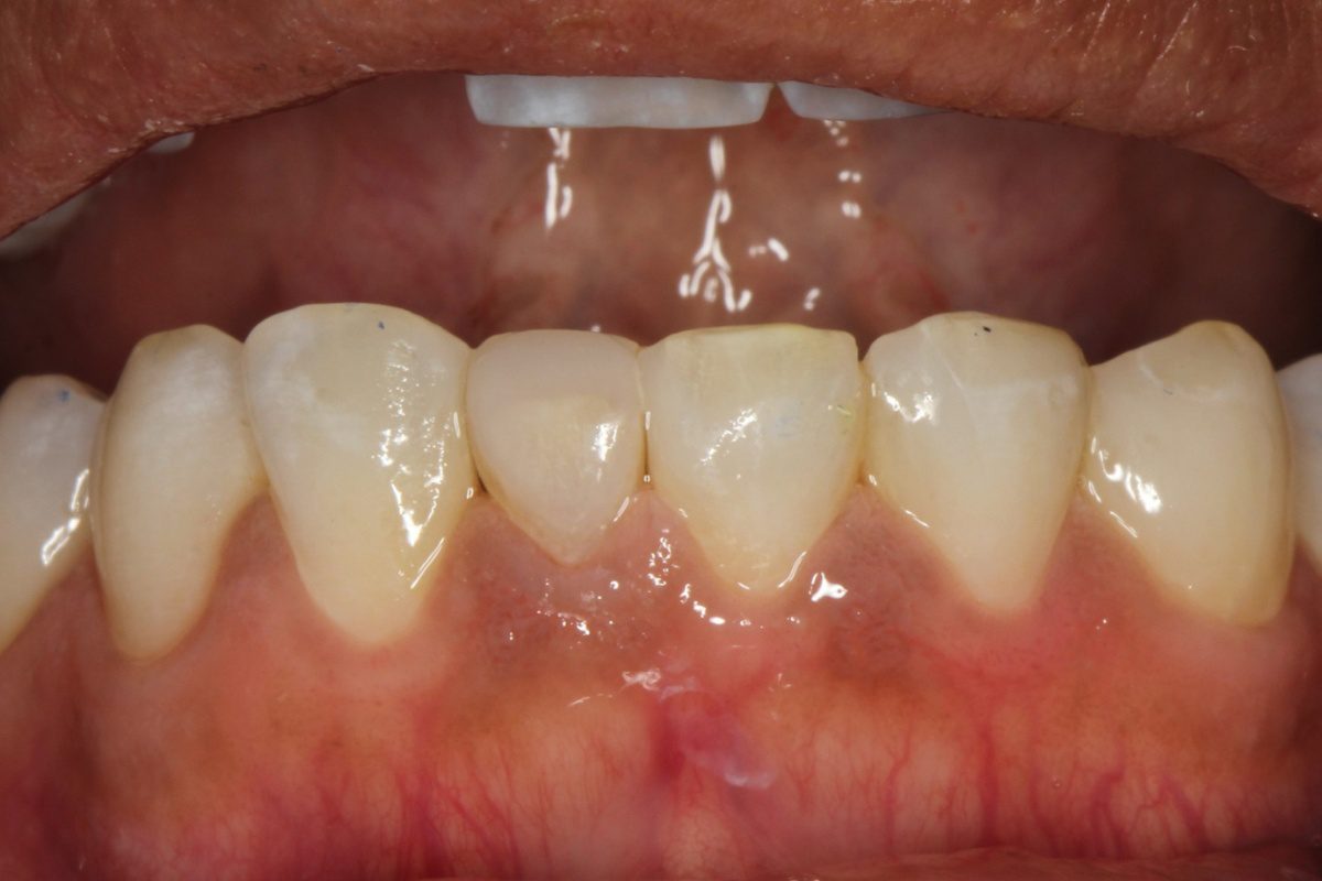
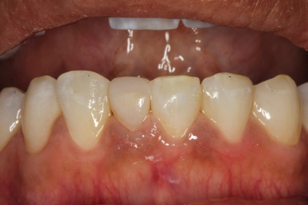
Smile Gallery
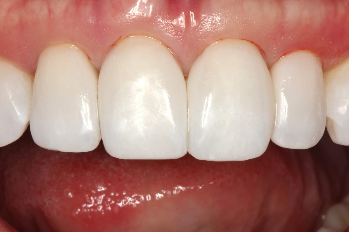
Veneers to match front teeth.
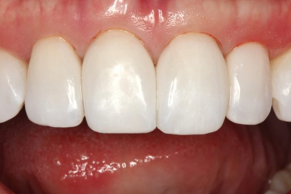
Porcelain veneers for worn teeth
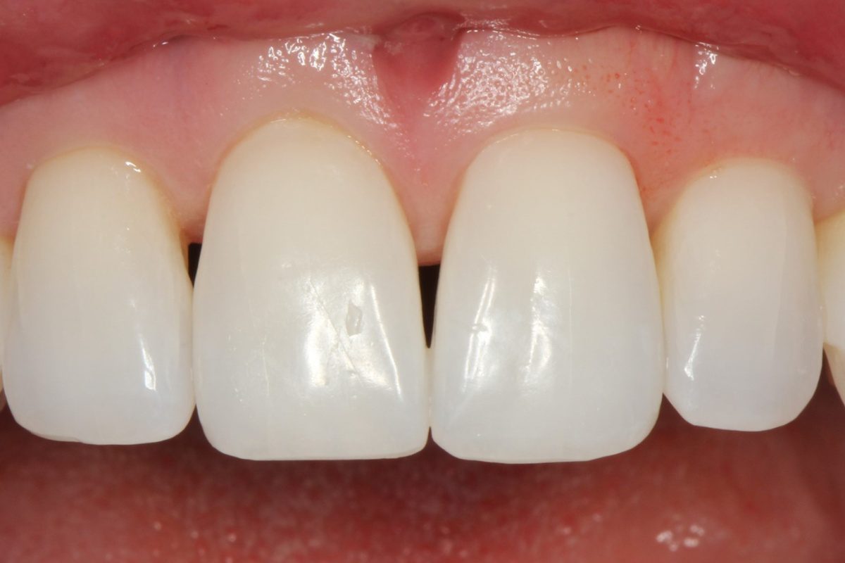
Porcelain veneers to replace old ones
Porcelain veneers for worn, discolored teeth
Porcelain veneers for chipped, discolored teeth
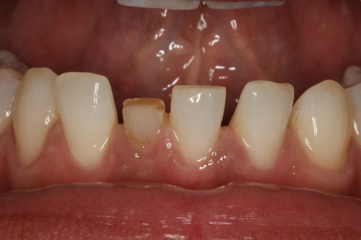
Improving discolored teeth and an old crown